Sức khỏe răng miệng đóng vai trò quan trọng trong việc ăn nhai, phát âm và thẩm mỹ nụ cười. Tuy nhiên, không ít người duy trì những thói quen xấu tưởng chừng vô hại nhưng lại âm thầm phá hủy răng nướu mỗi ngày. Từ việc thở miệng, cắn móng tay đến nghiến răng khi ngủ, tất cả đều có thể dẫn đến những hậu quả nghiêm trọng nếu không được phát hiện và loại bỏ kịp thời.
Trong bài viết này, Nha khoa BS Thương sẽ cùng bạn điểm danh 10 thói quen xấu gây hại cho răng miệng phổ biến nhất, giải thích vì sao chúng nguy hiểm, và hướng dẫn cách khắc phục để bảo vệ nụ cười khỏe đẹp lâu dài.
1. Thói quen thở miệng
1.1. Vì sao thở miệng có hại?
-
Thở miệng thường xuyên làm khô khoang miệng, giảm tiết nước bọt.
-
Nước bọt vốn có vai trò trung hòa axit, rửa trôi vi khuẩn. Khi miệng khô, vi khuẩn dễ sinh sôi, gây sâu răng, hôi miệng.
-
Thở miệng lâu dài có thể làm biến dạng cấu trúc khuôn mặt: hàm hẹp, răng hô, mặt dài.
1.2. Cách khắc phục
-
Tập luyện thói quen thở bằng mũi.
-
Nếu bị nghẹt mũi, viêm xoang, cần điều trị dứt điểm.
-
Đến nha sĩ kiểm tra khi thấy răng mọc lệch hoặc hô do thở miệng.

2. Thói quen đẩy lưỡi
2.1. Tác hại của đẩy lưỡi
-
Đẩy lưỡi khi nuốt hoặc nói chuyện tạo lực liên tục lên răng cửa.
-
Gây ra tình trạng răng thưa, hô hoặc khớp cắn hở.
-
Ảnh hưởng đến phát âm, giọng nói.
2.2. Cách khắc phục
-
Tập luyện nuốt đúng cách: đặt đầu lưỡi lên vòm miệng thay vì đẩy ra răng.
-
Với trẻ em, có thể cần kết hợp khí cụ chỉnh nha để điều chỉnh thói quen.

3. Mút ngón tay
3.1. Vì sao mút ngón tay có hại?
-
Thói quen phổ biến ở trẻ nhỏ, nếu kéo dài sau 3–4 tuổi sẽ gây biến dạng răng.
-
Tác động lực hút liên tục khiến răng cửa hô ra trước, hàm trên nhô ra ngoài.
-
Có thể gây khớp cắn hở, khiến việc ăn nhai khó khăn.
3.2. Cách khắc phục
-
Với trẻ nhỏ: sử dụng núm vú giả thay thế, cai dần thói quen.
-
Với trẻ lớn: dùng phương pháp nhắc nhở tích cực, hoặc khí cụ chỉnh nha nếu thói quen kéo dài.

4. Cắn môi, cắn má
4.1. Tác hại của cắn môi – cắn má
-
Khi cắn môi dưới, răng cửa trên bị đẩy ra, răng cửa dưới bị thụt vào → gây sai lệch khớp cắn.
-
Thường xuyên cắn má tạo vết loét trong miệng, tăng nguy cơ viêm nhiễm.
-
Nếu kéo dài, hình dáng khuôn mặt có thể bị ảnh hưởng.
4.2. Cách khắc phục
-
Nhận diện thói quen và tập kiểm soát khi căng thẳng.
-
Sử dụng phương pháp thay thế: nhai kẹo cao su không đường khi buồn miệng.
-
Đến nha sĩ kiểm tra nếu răng đã bị sai khớp cắn.

5. Ngậm ti giả quá lâu
5.1. Vì sao ngậm ti giả gây hại?
-
Nếu trẻ ngậm ti giả đến sau 3 tuổi, sẽ dễ dẫn đến răng hô, khớp cắn hở, răng mọc lệch.
-
Ti giả làm thay đổi hướng phát triển của xương hàm.
-
Ngoài ra, nếu không vệ sinh đúng cách, ti giả còn gây nấm miệng và viêm nhiễm.
5.2. Giải pháp
-
Cai ti giả trước 2–3 tuổi.
-
Dùng ti giả an toàn, vệ sinh thường xuyên.
-
Tập cho trẻ thói quen ngủ không cần ti giả.

6. Cắn đồ cứng: cắn bút, cắn đồ chơi, nhai đá
6.1. Tác hại
-
Cắn bút, cắn đồ chơi hay nhai đá dễ gây sứt mẻ men răng.
-
Tạo vết nứt nhỏ, lâu ngày dẫn đến sâu răng hoặc vỡ răng.
-
Còn có thể làm hỏng miếng trám hoặc mão răng sứ.
6.2. Giải pháp
-
Tập bỏ thói quen cắn đồ cứng, thay thế bằng việc nhai kẹo cao su không đường.
-
Với trẻ nhỏ: hướng dẫn sử dụng đồ chơi an toàn, không cho ngậm vào miệng.
-
Kiểm tra nha khoa ngay nếu răng có vết nứt.

7. Chống cằm
7.1. Tác hại khi chống cằm thường xuyên
-
Khi bạn có thói quen chống cằm lâu (ngồi học, làm việc, xem điện thoại), lực tì lên hàm sẽ gây lệch khớp cắn.
-
Nếu chỉ chống cằm một bên, xương hàm có thể phát triển không cân đối, làm mặt bị lệch.
-
Ở trẻ nhỏ, chống cằm lâu còn ảnh hưởng đến sự phát triển toàn diện của xương mặt.
7.2. Cách khắc phục
-
Thay đổi tư thế ngồi, giữ lưng và đầu thẳng.
-
Sử dụng ghế và bàn phù hợp chiều cao để hạn chế chống cằm.
-
Tập thói quen đặt tay lên bàn thay vì tì vào cằm.

8. Nghiến răng
8.1. Tác hại của nghiến răng
-
Thường xảy ra khi ngủ, gây mòn men răng, lộ ngà, ê buốt.
-
Có thể gây nứt, gãy răng nếu lực nghiến quá mạnh.
-
Tạo áp lực lên khớp thái dương hàm, gây đau đầu, đau cơ mặt.
-
Làm giảm tuổi thọ của răng sứ hoặc miếng trám.
8.2. Giải pháp
-
Đeo máng chống nghiến theo chỉ định nha sĩ.
-
Giảm căng thẳng, stress – nguyên nhân chính của nghiến răng.
-
Tập thói quen thư giãn trước khi ngủ: nghe nhạc nhẹ, hít thở sâu.

9. Cắn móng tay
9.1. Vì sao cắn móng tay nguy hiểm?
-
Móng tay chứa nhiều vi khuẩn, dễ gây nhiễm khuẩn miệng.
-
Cắn móng thường xuyên làm răng cửa bị mẻ, mòn cạnh cắn.
-
Có thể khiến răng bị lệch vị trí, thậm chí gãy nếu móng cứng.
-
Thói quen này cũng gây ảnh hưởng thẩm mỹ bàn tay.
9.2. Cách khắc phục
-
Giữ móng tay sạch, cắt ngắn để hạn chế cắn.
-
Sử dụng dung dịch có vị đắng để nhắc nhở.
-
Thay thế thói quen bằng việc cầm đồ vật khác khi căng thẳng.

10. Nhai kẹo cao su quá mức
10.1. Tác hại
-
Dù kẹo cao su không đường có thể giúp làm sạch răng, nhưng nhai quá nhiều sẽ khiến khớp thái dương hàm mỏi.
-
Có thể gây ra tình trạng lệch khớp cắn nếu chỉ nhai một bên.
-
Với kẹo cao su có đường, còn làm tăng nguy cơ sâu răng.
10.2. Giải pháp
-
Chỉ nên nhai kẹo cao su không đường sau bữa ăn 5–10 phút.
-
Tránh nhai liên tục trên 30 phút.
-
Luôn thay đổi bên nhai để cân đối hàm.

11. Tác hại tổng quát khi duy trì thói quen xấu gây hại cho răng
Những thói quen trên nếu kéo dài sẽ gây ra nhiều hệ lụy:
-
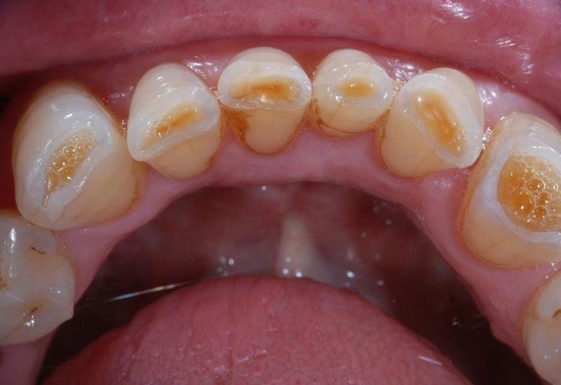
Sâu răng và viêm nướu: Do vi khuẩn phát triển mạnh mẽ trong môi trường tổn thương.
-
Răng sứt mẻ, mòn men: Làm tăng nguy cơ ê buốt, đau khi ăn uống.
-
Sai khớp cắn: Gây khó khăn trong nhai, phát âm và ảnh hưởng thẩm mỹ khuôn mặt.
-
Ảnh hưởng toàn thân: Nghiến răng và thở miệng có thể gây đau đầu, mệt mỏi, giảm chất lượng giấc ngủ.

12. Lời khuyên từ chuyên gia Nha khoa BS Thương
-
Nhận diện sớm và loại bỏ thói quen xấu ngay từ khi trẻ còn nhỏ.
-
Khám nha khoa định kỳ 6 tháng/lần để phát hiện sớm hậu quả từ thói quen xấu.
-
Kết hợp biện pháp tâm lý, thay thế hành vi để điều chỉnh.
-
Khi răng đã sai lệch nhiều, cần can thiệp bằng chỉnh nha hoặc phục hình thẩm mỹ.

13. Kết luận
Răng miệng khỏe đẹp không chỉ nhờ vệ sinh đúng cách mà còn phụ thuộc vào việc loại bỏ thói quen xấu hằng ngày. Những hành vi tưởng như nhỏ nhặt như thở miệng, cắn móng tay, nghiến răng… lại âm thầm phá hủy men răng, làm lệch khớp cắn và ảnh hưởng lâu dài đến sức khỏe.
Vì vậy, hãy:
-
Tập từ bỏ các thói quen này càng sớm càng tốt.
-
Duy trì chế độ chăm sóc răng miệng khoa học.
-
Khám răng định kỳ để được bác sĩ theo dõi và tư vấn chuyên sâu.
Một nụ cười đẹp bắt đầu từ việc ý thức bảo vệ răng mỗi ngày.
14. Thông tin liên hệ Nha khoa BS Thương – Đông Hà, Quảng Trị
-
Cơ sở 1: 41B Lê Lợi, Đông Hà, Quảng Trị
Hotline/Zalo: 0813 592 593 -
Cơ sở 2: 144 Quốc lộ 1A, Đông Hà, Quảng Trị
Hotline/Zalo: 0815 594 595 -
Fanpage: Nha khoa BS Thương
-
Giờ làm việc: 8h00 – 20h00 (tất cả các ngày trong tuần)





